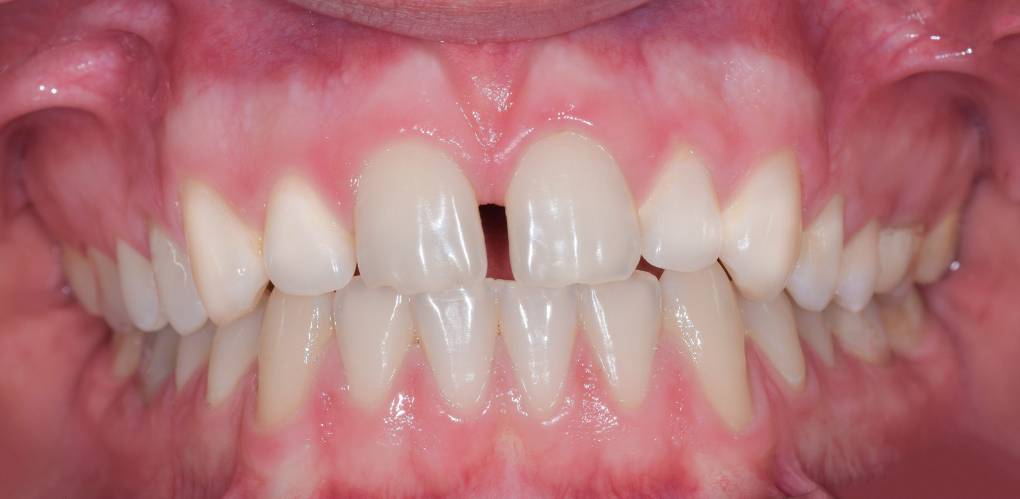
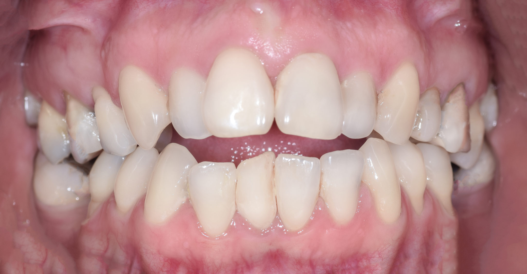
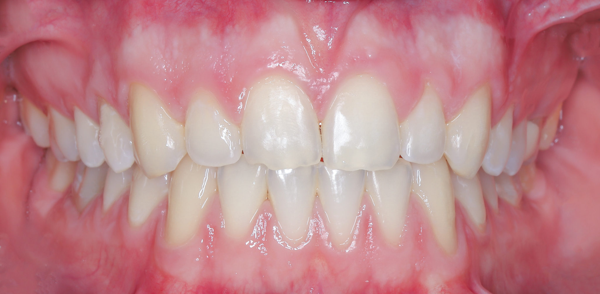
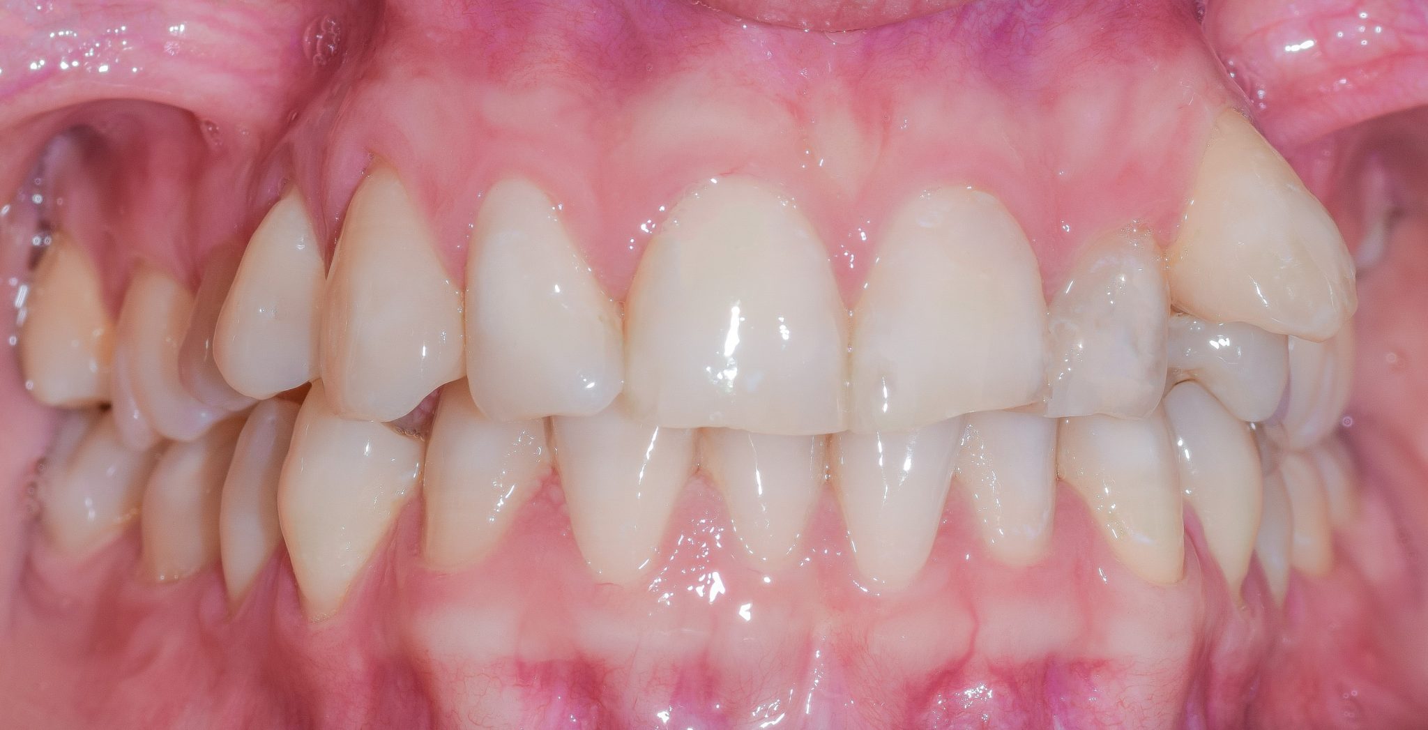
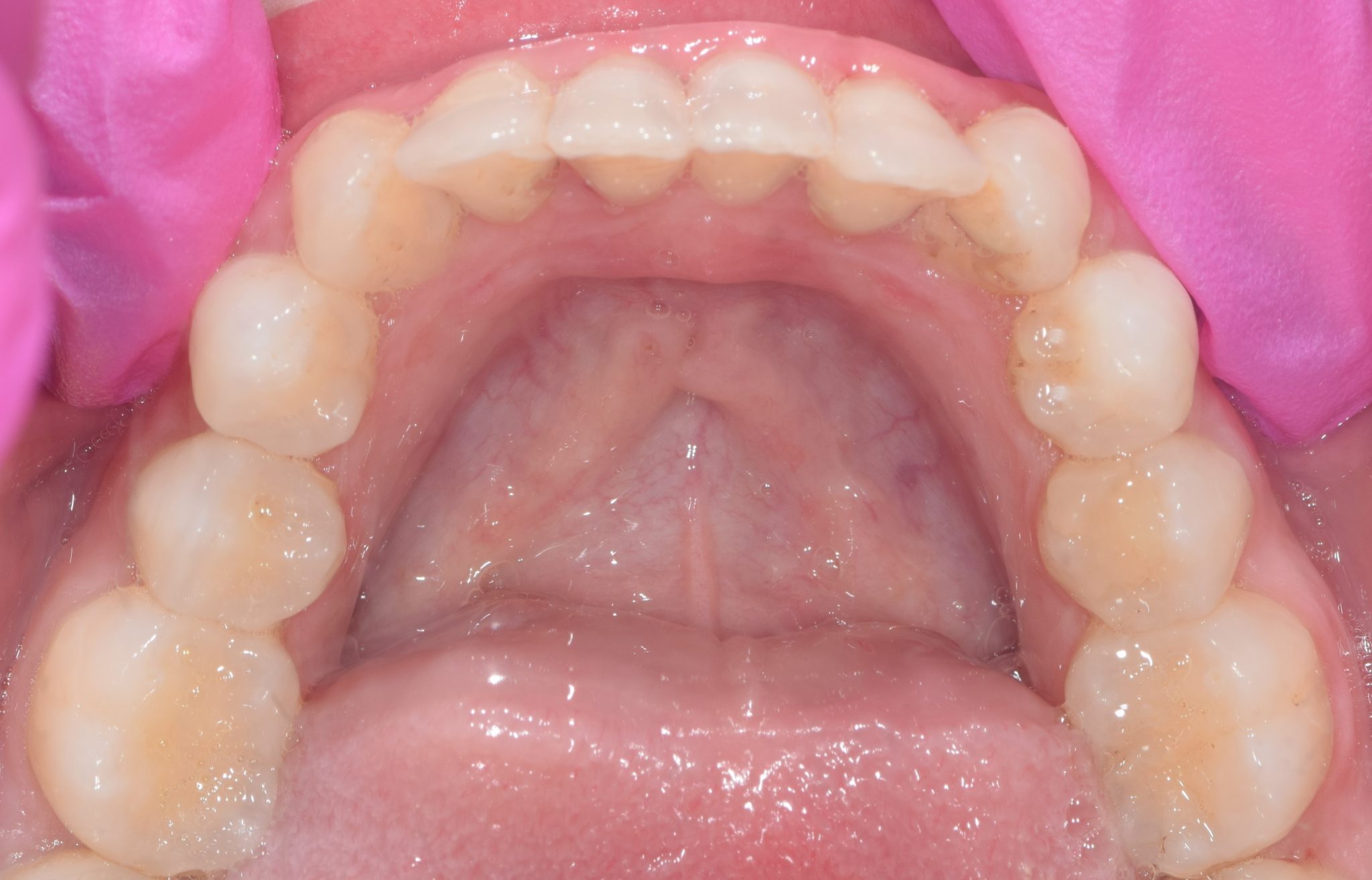
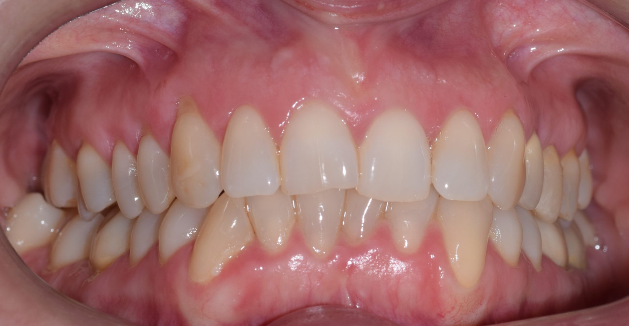
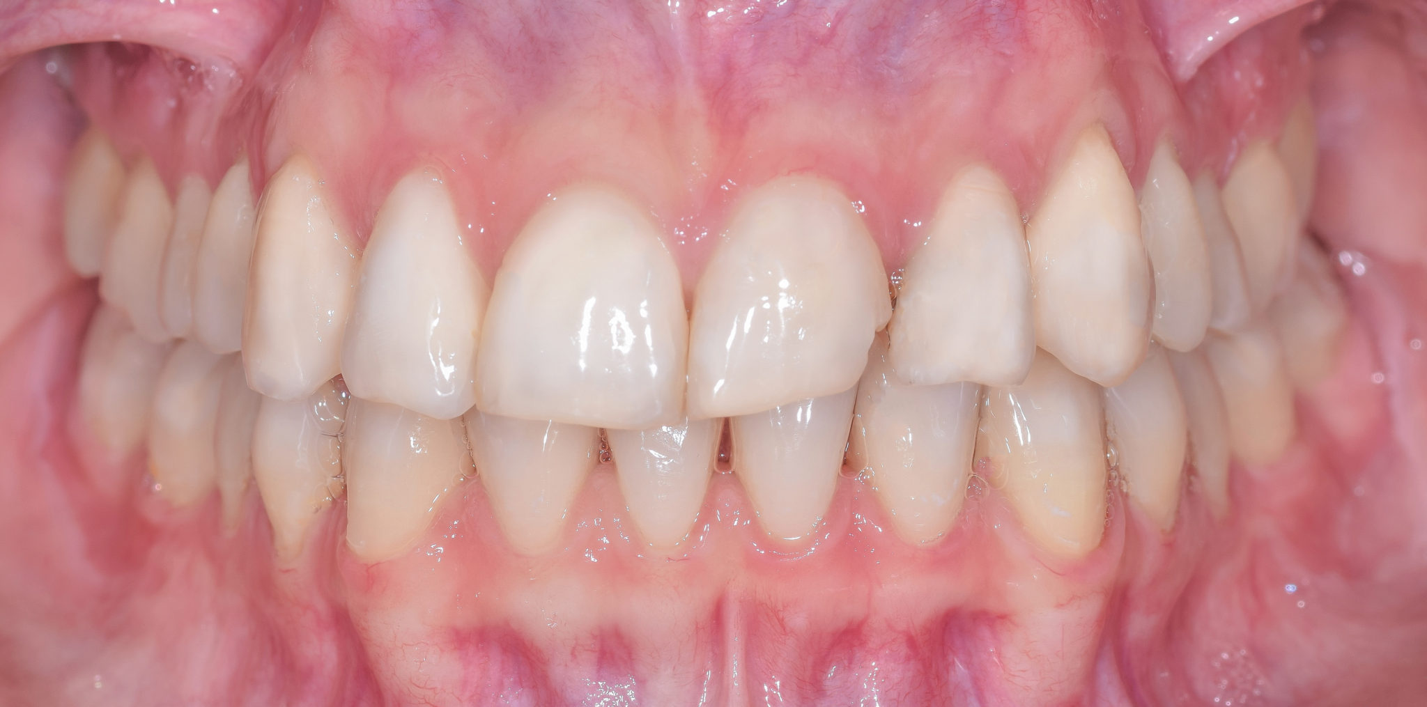
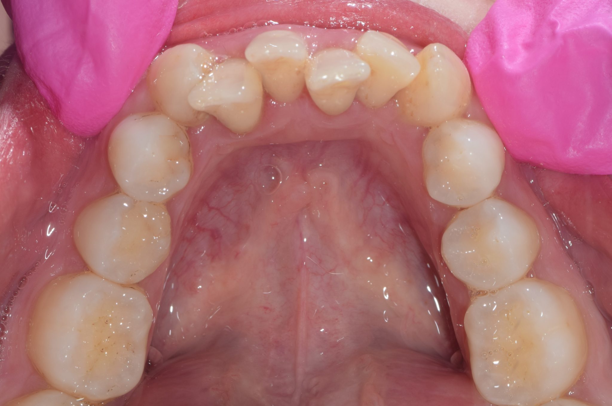
I dok nevidljivi aparatići osvajaju tržište i postaju cjenovno sve pristupačniji, vrijeme je da srušimo predrasudu da ova metoda rješava samo manje nepravilnosti. Da ne bi sve bilo samo na riječima, zamolili smo ortodonte iz Fiziodenta da podijele s nama fotografije nekih stvarnih osmijeha koje su doveli do savršenstva zahvaljujući nevidljivim Simply Smile aparatićima!
JESTE LI KANDIDAT ZA NEVIDLJIVI APARATIĆ?
Statistika iz Fiziodenta pokazuje da je čak 95 – 97 % slučajeva nepravilnosti moguće riješiti nevidljivim aparatićima, a bit ćemo pozitivni i pretpostaviti da niste baš vi u onih 3 – 5 % slučajeva u svijetu. Naravno, konačno „da“ mogu vam reći samo i jedino stručnjaci i to nakon pregleda. Svaki osmijeh jedinstven je i unikatan, ali primjeri s fotografija pomoći će vam da prepoznate neke tipove nepravilnosti koje možda i sami želite ispraviti. Svi prikazani slučajevi rezultat su terapije koju je Fiziodent proveo koristeći Simply Smile, hrvatsku marku nevidljivih aparatića/alignera koja stoji uz bok svjetskim aligner sistemima i zahvaljujući kojoj se mnogi danas zadovoljno smiju!
PREDNOSTI NEVIDLJIVIH APARATIĆA
Sada kada smo utvrdili da ste vjerojatno potencijalni kandidat, dobro će vam doći sve potrebne informacije o ovoj najsuvremenijoj ortodontskoj metodi. Ukratko, nevidljive aparatiće opisali bismo kao sve ono što smo oduvijek htjeli od aparatića, a to je da put do lijepog osmijeha bude elegantan, brz i bezbolan.
#1 NEVIDLJIVI SU
Vjerojatno niste iznenađeni kada kažemo da su nevidljivi aparatići nevidljivi, ali većina ljudi još uvijek ne zna do koje mjere su stvarno nevidljivi. Naime, riječ je o potpuno prozirnim prijanjajućim folijama zahvaljujući kojima se vaši zubi slažu u željeni položaj i koje se mijenjaju svakih 5-14 dana, ali stalno unaprjeđivanje proizvoda i vrijedni pacijenti sada omogućuju smanjivanja nošenja na 5-7 dana. A iz iskustva tvrdimo da možete s nekim sjediti na kavi satima, a da taj netko i ne primijeti da nosite aparatić.
#2 BRZI SU
Kada se odlučimo na aparatić, prilično smo nestrpljivi, a sama pomisao na to da će proces trajati 2-3 godine, često nas obeshrabruje. S ovom metodom, svoj savršeni osmijeh možete dobiti u svega nekoliko mjeseci. Statistički, dosta terapija alignerima traje kraće nego terapije fiksnim aparatićima, zahvaljujući preciznom 100% individualnom digitalnom planu terapije.
#3 CJENOVNO SU SVE PRISTUPAČNIJI
Jedna od najvećih predrasuda je ta da su neviljivi aparatići puno skuplji od fiksnih, ali to više i nije slučaj. Svoju terapiju platit ćete ovisno o težini vlastitog slučaja. U brojkama to znači da se cijena Simply Smile aparatića u Fiziodentu kreće od 4 000 kn za minimalne korekcije u jednoj čeljusti pa do 18 000 kn za kompleksne terapije u obje čeljusti, a u cijenu su uključeni: uzimanje otisaka, izrada plana terapije, vizualizacija plana terapije, terapija alignerima te retaineri koji će zadržati zube ravnima i nakon terapije. Uključene su i sve kontrole, odnosno, jednostavnijim rječnikom, nema dodatnih troškova.
#4 MOBILNI SU
Iako su aligneri dovoljno nevidljivi da ih ne morate skidati čak ni u posebnim prilikama, svejedno to možete učiniti ako ćete se tako osjećati bolje. I dok vam se ta odluka ostavlja na izbor, skidanje alignera tijekom jela i pranja zubi je obavezno. Samo pripazite da se ne opustite previše jer za optimalne rezultate morate ih nositi 20-22 sata dnevno!
#5 UDOBNI SU I BEZBOLNI
Nećemo vam lagati, kao na svakom početku ortodontske terapije moguća je nelagoda, ali to je i logično jer vaši zubi mijenjaju položaj. Bez brige, to je gotovo zanemarivo jer najveći dio procesa ovaj aparatić je potpuno udoban, neprimjetan i bezbolan.
#6 VIDJET ĆETE KAKO ĆE VAŠ OSMIJEH IZGLEDATI NA KRAJU
Kada krećemo s nošenjem aparatića, silno smo nestrpljivi vidjeti krajnji rezultat, a njega u ovom slučaju možete vidjeti već na samom početku. Nakon što vam stručnjaci izrade vizualizaciju plana terapije, vidjet ćete kako će se vaši zubi pomicati tijekom svake faze i ono što vas najviše zanima – kako će izgledati na kraju.
Imamo osjećaj da su nevidljivi aparatići sve ono što smo htjeli da aparatići budu i da nam više ne ostavljaju prostora za izgovore. Ako ste od onih sretnica koje svoj savršeni osmijeh već imaju, nadamo se da ga pokazujete svaki dan, a ako ste od onih koje do njega tek trebaju doći, onda već znate koliko vaš osmijeh utječe na vaš život. A ako ste od onih koji se još uvijek dvoume, iz iskustva vam možemo obećati da je savršeni osmijeh bez sumnje jedna od najboljih stvari koje ćete ikada učiniti za sebe.
U galeriji pogledajte još nekoliko primjera terapije nevidljivim Simply Smile aparatićima (klik na fotografiju za veći prikaz):














